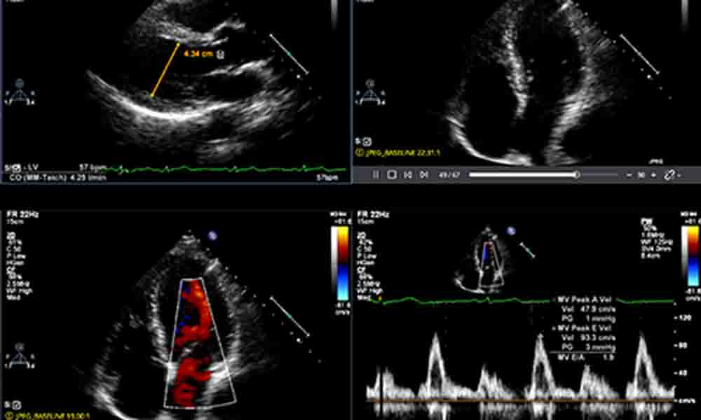
Echocardiography
EncaptureMD is the fastest way to create adult echocardiogram reports. EncaptureMD’s Echo point and click interface eliminates dictation, is standards-compliant, IAC-ready and accelerates documentation, improves accuracy and adapts to your work flow. Measurements flow directly in from the modality and begin to build the report. AI integration automates measurement and diagnosis. Treadmill system integration provides waveform and exercise information allowing a single stress echo report.

Report Types:
- Transthoracic
- Transesophageal
- Exercise and Pharmacological Stress
- Adult Congenital
- OR TEE
- ICE
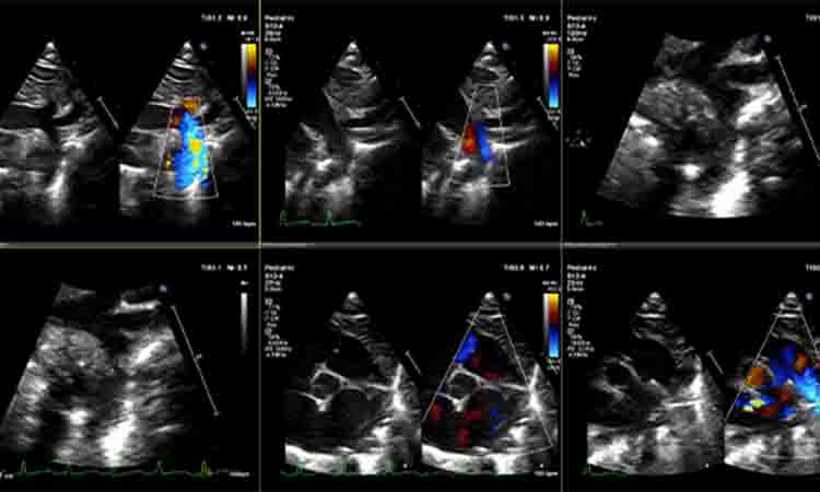
Pediatric/Fetal Echo
Provides all the benefits of our adult echocardiography app, but is refined to meet the needs of pediatric and fetal studies, our Pediatric Echo app is optimized for use with Z scores calculated from many published sources and with a strong emphasis on congenital defects.

Report Types:
- Pediatric
- Fetal
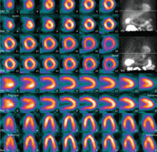
Nuclear Cardiology
Sharing much in common with our Stress Echo design, the Nuclear Cardiology app supports treadmill integration, full support for all stress types, an acute chest pain protocol and easy documentation of abnormal perfusion and wall motion.

Report Types:
- Treadmill
- Pharmacologic
- Routine Non-imaging Stress
- MUGA
- PYP scans
Vascular
Our Vascular app supports blood pressure, plethysmography and both non-imaging and full duplex ultrasound studies. All measurements flow from the ultrasound machine directly into the report. We also integrate with the Parks Flowlab equipment. The app covers all vascular report types.

Report Types:
- Carotid
- Renal and Dialysis Graft assessment
- Aorto-Iliac
- Mesenteric
- Transcranial
- Upper and Lower Arterial
- Upper and Lower Venous with Vein Mapping
Cardiac CT / CCS
The EncaptureMD Cardiac CT app creates cardiac and coronary anatomy reports using our Visual Coronary Report tool. Draw the vessels and lesions on the diagram and the report is constructed. No need to dictate. Both the diagrams and the text along with procedural data regarding scanner settings is provided.

Report Types:
- Cardiac CT
- Coronary CT Angiography
- Coronary Calcium Scoring
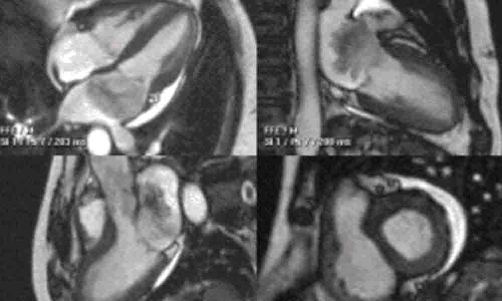
Cardiac MRI (CMR)
Designed and constructed by CMR experts, this app can report all CMR findings and machine settings. Global and regional function, cardiomyopathies, inflammatory disease, great vessel aneurysm and dissection are all supported.

Report Types:
- Cardiac MRI
- Coronary Angiography
- Stress Testing
Anywhere Access
Our web-based platform allows you to access or complete reports in the lab, in the office, or at home.

Standards-Compliant Reporting
Our accreditation-compliant apps are designed to be concise yet comprehensive. Each app is built and updated to ensure it supports published standards and ACC/ASE/SVU/ASNC/HRS guidelines and meets or exceeds the IAC guidelines for lab certification. Our platform assists in obtaining and maintaining IAC certification.

Lab and Hospital System Integrations
EncaptureMD integrates with any standards-compliant DICOM source, EMR, hemodynamic and EP recording systems, specialty systems and we can write custom interfaces as needed.

Operational Reports
Review day-to-day data including turnaround time with our dashboards. Assure compliance with EncaptureMD’s integrated billing sheets. Build your own queries to run once or on a schedule.

Research-Ready Databases
Our intuitive point-and-click reporting interfaces store data granularly in a relational SQL database. This allows for the most complex data analysis using standard tools.
