Abdominopelvic
The EncaptureMD Abdominopelvic app allows the sonographer to generate a near-complete report using a point-and-click interface in combination with user-defined templates. Measurements flow from the ultrasound machine and help construct the report. The radiologist can use this as data to dictate or can finalize the report in EncaptureMD.

Report Types:
- Abdominal - Liver, bile duct, gall bladder, kidney, spleen, pancreas, abdominal aorta and bowel wall.
- Pelvic Male - bladder, prostate
- Pelvic Female - ovaries, uterus, bladder
Musculoskeletal
This app focuses on procedure reports for muscles, tendons, ligaments, and joints. The sonographer can quickly create reports to be used for radiologist dictation or the report can be signed within EncaptureMD. It uses a combination of point and click reporting with templates to easily construct a report.

Report Types:
- Shoulder, elbow, wrist, hand, knee, ankle, foot
- Tendons, bursa, recesses, ligaments, cartilage, nerves, etc.
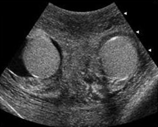
Scrotal
The Scrotal ultrasound application creates reports for diagnosis of male reproductive organ findings. Measurements flow from the modality to allow reporting of both quantitative and qualitative findings.

Report Types:
- Groin, scrotum, epididymis, cysts, testicles and masses
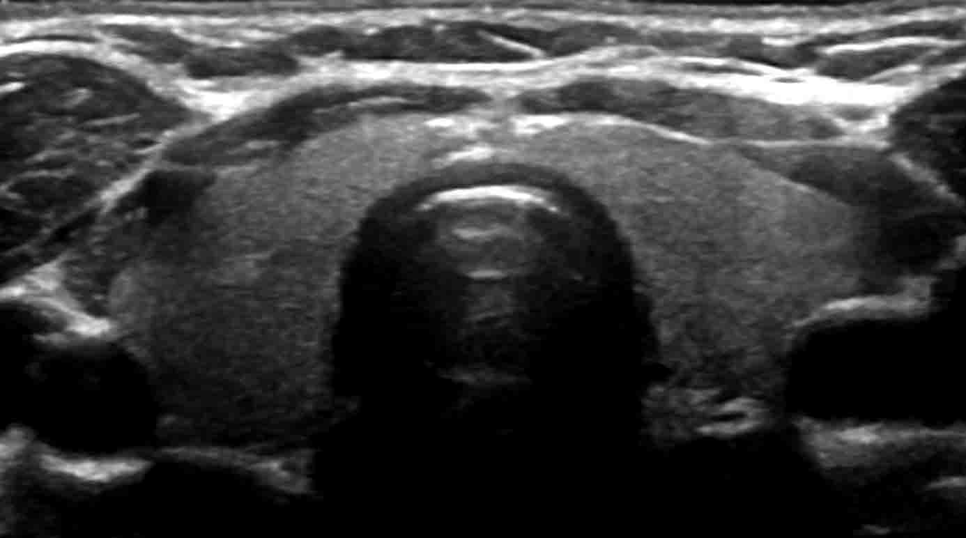
Thyroid
Our Thyroid ultrasound application describes the overall dimensions and descriptors of the thyroid, a table of nodules with dimensions imported from the modality with additional descriptors which calculates the TI-RADS score. A thyroid diagram can easily communicate nodule location to the ordering physician and the report clearly outlines next steps.

Report Types:
- Thyroid Ultrasound
Anywhere Access
Our web-based platform allows you to access or complete reports in the lab, in the office, or at home.

Standards-compliant reporting
Accreditation compliant reports are designed to be concise yet comprehensive.

Lab and Hospital System Integrations
Connect your radiology ecosystem with fully integrated workflows. From order to image to report, data moves automatically across systems. No manual entry, no gaps, just streamlined efficiency.

Operational Reports
Review day-to-day data including turnaround time with our dashboards. Assure compliance with EncaptureMD’s integrated billing sheets.

Research-Ready Databases
Our intuitive point-and-click reporting interfaces store data granularly in a relational SQL database. This allows for the most complex data analysis using standard tools.
